Le syndrome d'apnées obstructives du sommeil (saos)
Articles similaires
Traitement multi-attaches
Vidéos 3D
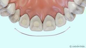
Contention de Hawley
Vidéos 3D
83 avenue Jean Jaurès
92140
Clamart
| Lundi | 10h - 19h |
| Mardi | 10h - 19h |
| Mercredi | 9h30 - 18h30 |
| Jeudi | 10h - 19h |
| Vendredi | 10h - 19h |
| Samedi | Fermé |
| Dimanche | Fermé |
Vidéo en cours de lecture